Uzm.Ecz. Ebru CUMBUL
Farmasötik Biyoteknoloji Bilim Uzmanı
Diş çürükleri, her ülkenin başta gelen halk sağlığı problemlerinden biridir. Diş çürüğünün temelinde kalıtımsal, çevresel etkenler, tükürük yapısı, diş sağlığına önem verilmemesi gibi nedenler yatar.

Günümüzde başlangıç halindeki çürük lezyonlarının girişimsel işlemler yerine koruyucu uygulamalar ile kontrol altına alınması bir tedavi biçimi olarak tercih edilmektedir. Bu koruyucu uygulamalar için kullanılan ajanlardan en önemlisi flordur.
Flor Nedir?
Flor iyonu, dişleri çürüğe karşı koruduğu ve güçlendirdiği bilinen bir element olması nedeniyle, 50 yıldan daha uzun süredir Avrupa, Amerika ve diğer gelişmiş ülkelerde diş çürüklerinin önlenmesinde ve kontrolünde kullanılan en etkili yöntemlerden biridir.
Flor, ilerleyici bir biçimde diş minesiyle birleşmesi nedeniyle, mine dış tabakalarının sertleşmesine, yapılarının ve bileşimlerinin değişmesine yol açar. Minenin demineralizasyon sürecini inhibe ederek remineralizasyonunun, çürümeye yol açan maddelere karşı direncinin artmasını sağlamakta, plaktaki asit üretimini azaltmaktadır (1).
Hangi yollarla florürden yararlanılabilir?
Florür iki yolla alınabilir. Bunlar sistemik ve topikal yöntemlerdir(2-10).
Sistemik florür uygulamaları içme sularının florürlenmesi, florürlü tuzlar, florürlü sütler, florürlü meyve suları, florür tabletleri, florürlü damla ve florürlü şekerler sayılabilir.
İçme sularının florlanmasının diş çürüğünün azaltılmasında etkili olduğu bilinmektedir. Dünya Sağlık Örgütü (DSÖ) tarafından bugün kabul edilen sudaki optimum flor dozu 1 ppm (mg/L) ’dir(11).
Sistemik olarak diyete florun katılması tuzların florlanmasıyla da olmaktadır. Florun tuz aracılığıyla kullanımda tüketim miktarı bireysel farklılıklar gösterir. Günlük yaklaşık 1-4 gr. florlu tuzun sofra tuzu şeklinde tüketimi düşünüldüğünde, tuzun 250 mg F/kg dozajında flor içermesi dental florozis oluşumuna sebebiyet vermemesi nedeniyle güvenli olarak kabul edilmektedir(12).
DSÖ’nün florlanmış ve florlanmamış su ve tuz kullanan ülkeleri kıyasladığında çürük diş oranlarında bir fark olmadığı belirtilmiştir(13-17).
Topikal florür uygulamaları ise florürlü diş macunu, florürlü ağız gargaraları, florürlü jeller, florür vernikleri ve uzun süreli florür salınımı yapan restoratif materyallerdir.

Topikal flor ajanlarının etkinliği uygulama sonrası tükürükte bulunan flor seviyesine bağlıdır. Tükürükte bulunan flor seviyesine etki eden faktörler; ajanının konsantrasyonu, miktarı, uygulamadan itibaren geçen zaman ve uygulama yöntemi olarak sayılabilir(18).
Belirli miktarda florun oral mukoza, dişler ve plakta absorbe olarak tutulduğu ve yavaş yavaş tükürüğe salınarak yutulduğu unutulmamalıdır(19).
Günümüze kadar florun çürük önleyici etkisinin, sistemik verilen florun diş içindeki mineral bileşimine katılarak, dişler çıkmadan önce ve gelişirken etkili olduğu düşünülürken, şimdiki kanıtlara göre daha çok, dişler çıktıktan sonra topikal etkisinin daha iyi olduğu yönündedir (20-22).
Çürüğü önleyen florürün, dişin gelişimi esnasında değil, sonradan ağıza alınan florürlerden kaynaklanması nedeniyle, sistemik florürler yerine topikal florürler önem kazanmıştır(23-24).
Florürlerin en kolay uygulama yolu diş macunları ve ağız gargaralarıdır. Bu ürünlerin hem demineralizasyonu inhibe etme hem de remineralizasyonu güçlendirme özellikleri vardır(25-27).
Dünyada çürük prevalansının düşüşünün florürlü diş macunlarının kullanımına bağlı olduğu araştırmacılar tarafından kabul edilmiştir. Bu nedenle fırçalama sonrası çok kuvvetli bir çalkalama önerilmemektedir. Her gün düzenli olarak florürlü diş macunlarının kullanılmasıyla diş çürümelerinde %20-40 azalma kaydedilmiştir.
Profilaksi felsefesi, diş macununun her kişi için bireysel önerilmesi gerektiğini savunur(28) ve farklı ağız durumlarında farklı diş macunu ve oral hijyen önerilerini içerir(29). Bugün diş macunlarına bağlanan büyük başarı, düzenli olarak yapılan fırçalama ve bu fazlar arasında florür düzeyinin yüksek tutulması ile ilişkilendirilmiştir.
Yaş gruplarına göre diş macunlarındaki florür konsantrasyonları ve günlük kullanım miktarları
|
Yaş Grubu |
Florür Konsantrasyonu |
Günlük Kullanım |
Günlük Kullanım Miktarı |
|
6 ay-2 yaş |
500 ppm |
Sabah kahvaltıdan sonra ve akşam yatmadan önce 2 kez |
Sürüntü şeklinde |
|
2-6 yaş arası |
1000+ ppm |
Sabah kahvaltıdan sonra ve akşam yatmadan önce 2 kez |
Yarım bezelye büyüklüğünde |
|
6 yaş ve üstü |
1450 ppm |
Sabah kahvaltıdan sonra ve akşam yatmadan önce 2 kez |
Bezelye büyüklüğünde |
(Türk Pedodonti Derneği)
Florürlü ağız gargaraları yüksek çürük riskli bireylerde ve diş aşınmalarında uygulanır. Florürlü ağız gargaraları, tükürük florür seviyesini çalkalamadan hemen sonra yükseltir ve bu yükseltilmiş florür konsantrasyonu bir kaç saat için korunur. Florürlü ağız gargara uygulama programlarının sonucunda, yeni çürük oluşumunda %20-50 azalma olduğu ve bu uygulamaların en büyük avantajlarının sürekli dişlerin proksimal yüzeylerinde olduğu gösterilmiştir.
Florür gargaralarının uygulamalarında 30 saniye süreyle çalkalama yapıldıktan sonra ağıza su alınmaması gerekmektedir. Bugüne kadar yapılan çalışmalarda, florürlü gargaraların ve macunların birlikte kullanımının, yalnız kullanımlarına göre daha etkili olduğu saptanmıştır(30).
Florürlü jeller, daha akışkan yapıda olmaları, daha düşük pH’ya sahip olmaları ve daha yüksek konsantrasyonda florür iyonu içermelerine bağlı olarak diğer florür uygulamalarına göre ağızda daha yüksek florür salınımı sağlamaktadırlar(31-32). Jeller kullanımları kolay ve çürüğe karşı etkisi ispat edilmiş ürünlerdir.
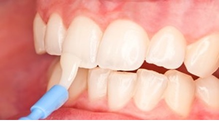
Florürlü vernikler yüksek çürük risk grubunda ve diş aşınmalarında tavsiye edilir. Poliüretan bazlı vernikler %0.1 florür içerir. Vernikler hekim tarafından uygulandığı için ağız gargarası uygulamalarına göre daha pahalıdır. Bu ajanın klinik dezavantajı ise dişi sarı-kahverengi ince şeffaf bir film tabakası şeklinde kaplamasıdır(33) .
Verniklerin %50-70 oranında fissür çürükleri ve bu orandan fazla olarak da proksimal yüzeylerindeki çürükleri azalttığı bildirilmektedir. Yüksek konsantrasyonda flor içeren flor vernikleri ve jellerin uygulama sıklığı çürük riskine göre 3 veya 6 aylık aralarla yapılmalıdır.
Uzun süreli florür salınımı yapabilecek restoratif materyaller geliştirilmiştir. Çürük gelişebilecek risk durumlarında ve diş hekimine düzenli gitmeyen bireylerde florür salınımı yapan restoratif materyaller tercih edilebilir.
Mine erozyonlarının tedavisinde yüksek konsantrasyonlu jellerin kısa süreli ve sık sık uygulamaları etkili olmaktadır. Ancak yeni bir çürüğün remineralizasyonu söz konusu ise, yüksek florür konsantrasyonlu ajanların yüzeyde CaF2 oluşturmaları nedeniyle remineralizasyonda bir gecikme olabileceği için, sık tekrar edilen ve düşük seviyeli florür içeren topikal ajanların uzun süreli kullanımı önerilmektedir.
Florun İnsan Sağlığı Üzerine Olumsuz Etkileri
Florürün zararlı etkileri kronik ve akut florür toksisitesi olarak iki şekilde görülebilir.
Tek seferde ve toksik doz olarak kabul edilen 5 mg/kg miktarında flor alımı akut flor toksisitesine sebep olmaktadır. Tek seferde 3-5 mg/kg flor alımı sonucunda gastrointestinal semptomlar ortaya çıkmaktadır. Akut flor toksisitesi karın ağrısı, kusma, diyare, hipersalivasyon, hipokalsemi, kas spazmları ve bayılmalarla karakterize ve nadir görülen bir tablodur. Ca, Mg veya Al tuzlarının uygulanması haricinde spesifik bir tedavisi yoktur(34-35).
Optimal dozdan biraz daha yüksek fakat uzun süre boyunca flor alınması kronik flor toksisitesi tablosunu meydana getirmektedir(34-35). Gelişim çağında yüksek konsantrasyonlarda ve sürekli flor kullanımı dental florozis ve ileri vakalarda iskeletsel florozis gibi kronik flor toksisitesi tablosuna sebep olabilmektedir(35). Flor kemikte birikim göstermektedir ve böylece kalsiyum alımı azalmakta ve büyüme etkilenmektedir. Dolayısıyla osteosklerozis, iskeletsel deformasyon ve büyüme geriliği gibi tablolar ortaya çıkabilmektedir( 35-37).
Kronik florür toksikasyonu, doğal su kaynaklarında yüksek dozda(1 ppm’den fazla) florür bulunan bölgelerde yaşayanlarda görülen bir durumdur. Türkiye gibi içme sularına flor ilave edilmeyen ülkeler için yaygın değildir. Ülkemizde sadece Ağrı, Doğu Beyazıt ve Isparta gibi illerde florozis olgularına rastlanmıştır. Bu bölgelerde, içme suyunda yapılan düzenlemeler ile günümüzde 40 yaş üzerindeki bireylerde bu tür vakaya rastlanmamıştır.
Özellikle Çin ve Hindistan gibi içme sularında yüksek flor bulunan ülkelerde sistemik flor ve IQ ile ilgili çeşitli çalışmalar yürütülmüştür. Yüksek flor grubunda dental florozis ve düşük IQ görülme sıklığı daha fazla bulunmuştur. Düşük ve normal flor seviyesinde su tüketenlerin IQ seviyesi arasında anlamlı fark bulunmamıştır(38).
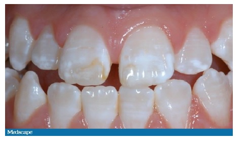
Florozis
Mine oluşumu döneminde, belli bir süre optimal dozun üstünde flor alımı ince beyaz çizgilerle başlayarak, tebeşirimsi, opak mineye kadar değişen klinik tablolar yaratmaktadır. Günlük 2 mg ve üzerinde flor tüketimi, hafif dereceli florozis gelişimine neden olmaktadır.

Florozis
Sistemik olarak uygulanan flor ile topikal flor uygulaması sonrası kan değerleri ve dolayısıyla dokularda birikim benzer değildir. Toksik etki olarak nitelendirilen dental florozis, iskeletsel florozis ve nörolojik semptomların ortaya çıkabilmesi için kandaki flor dozunun eşik değerin üstüne çıkması gereklidir.
Diş yüzeylerine yüzeyel olarak uygulanan az miktardaki florürün ağız diş sağlığının korunması ve sürdürülmesini sağladığı bilimsel olarak kanıtlanmıştır. Çürük önlemek için kullanılan yüzeyel florür kaynakları toksik dozda florür içermemektedir ve güven vericidir.
Sonuç olarak, dişhekimliği uygulamaları açısından değerlendirdiğimizde, diş çürüğünden korunmada flor, doğru teknik ve doz ile uygulandığında bireyler ve toplumlar için yarar sağlayacağı bilinen en etkin ve güvenilir ajandır.
KAYNAKLAR
1. Brothwell D, Limeback H. Breastfeeding is protective against dental fluorosis in a nonfluoridated rural area of Ontorio, Canada. Journal of Human Lactation 2003; 19:386-90
2. Ripa LW. A half-century of community water flouridation in the U.S.: Review and commentary. J Public Health Dent 1993; 53: 17^14.
3. Kargül B, Çağlar E, Tanboğa İ. History of water fluoridation. J Clin Pediatr Dent 2003; 27: 213-7.
4. Donly KJ. Fluoride varnishes. J Calif Dent Assoc 2003; 31: 217-9.
5. Scheifele E, Studen-Pavlovich D, Markovic N. Practitioner’s guide of fluoride. Dent Clin North Am 2002; 46: 831^16.
6. Levy SM, Guha-Chowdhury N. Total fluoride intake and implications for dietary fluoride supplementation. J Public Health Dent fall 1999; 59: 211-23.
7. Levy SM, Kohout FJ, Kiritsy MC, Heilman JR, Wefel JS. Infants’ fluoride ingestion from water, supplements and dentifrice. J Am Dent Assoc 1995; 126: 1625-32.
8. Bergmann KE, Bergmann RL. Salt fluoridation and general health. Adv Dent Res 1995; 9: 138^13.
9. Künzel W. Systemic use of fluoride-other methods: salt, sugar, milk etc. Caries Res 1993; 27 (Suppl 1): 16-22.
10. O’Mullane DM. Systemic fluorides. Adv Dent Res 1994, 8: 18
11. Limeback H. A re-examination of the pre-eruptive and post-eruptive mechanism of the anti-caries effects of fluoride: is there any anti-caries benefit from swallowing fluoride? Community Dent Oral Epidemiol 1999; 27: 62-71Ğ
12. Hedman J, Sjöman R, Sjöström I, Twetman S. Fluoride concentration in saliva after consumption of a dinner meal prepared with fluoridated salt. Caries Res 2006; 40: 158-162.
13. Hileman B. New Studies Cast Doubt on Fluoridation Benefits. Chemical&Engineering News. May 8, 1989: 25-8.
14. Groth E. Two Issues of Science and Public Policy Air Pollution Control in the San Francisco Bay Area, and Fluoridation of Community Water Supplies. Ph. D. Dissertion, Biologial Sciences, Stanford University 1973; 44:345-7.
15. Evans DJ. A study of the developmental defects in enamel in 10-year old high social class children residing in a nonfluoridated area. Comm Dent Health.1991; 8:31-8.
16. National Research Council. Fluoride in drinking water: A Scientific Reiew of EPA’s Standards. National Academies Press, Washington D.C. 2006; 1:186.
17. Warren JJ, Levy MS. A review of fluoride dentri frice related to dental fluorozis. Pediatr Dent 1999; 21:4-6
18. Opydo-Szymaczek J, Opydo J. Salivary fluoride concentrations and fluoride ingestion following application of preparations containing high concentration of fluoride. Biol Trace Elem Res 2010; 137:159-167
19. Heath K, Singh V, Logan R, McIntyre J. Analysis of fluoride levels retained intraorally or ingested following routine clinical applications of topical fluoride products. Aust Dent J 2001; 46: 24-31
20. WHO. Fluorides and oral health. WHO technical report series. No 846, Switzerland 1996; 2:21-5.
21. Hellwig E, Lennon AM. Systemic versus topical fluoride. Caries Res 2004; 38:258-62.
22. Marinho VCC, Higgins JPT, Logon S, Sheiham A. Fluoride gels for preventing dental caries in children and adolescents (Cochrane Review). In: The Cochrane Library, Oxford; Issue 2, 2002: 45-9
23. Kargül B, Çağlar E, Tanboğa İ. History of water fluoridation. J Clin Pediatr Dent 2003; 27: 213-7
24. Hellwig ME, Klimek J, Attin T. Einfiihrung in die Zahnerhaltung. Urban & Schhwarzenger, Deutschland, 1995
25. Itthagarun A, Wei SHY. De/remineralization from different commercial dentifrices: a pH-cycling study. Int Dent J 1997; 47: 321-8.
26. Itthagarun A, Wei SHY. Morphology of initial lesions of enamel treated with different commercial dentifrices using a pH cycling model; Scanning Electron Microscopy observations. Int Dent J 1999; 49: 352-60.
27. Marinelli CB, Donly KJ, Wefel JS, Jakobsen JR, Deneliy GE. An in vitro comparison of three fluoride regimens on enamel remineralization. Caries Res 1997; 31: 418-22
28. Koray F. İndividuel (bireysel) profilaksinin önemi. TDBD 1998; 44: IO-1.
29. Civelek A, Çapa N. Bireysel ağız bakımına yönelik ürün önerileri. Diş Hekimliğinde Klinik 2003; 16: 26-30.
30. Ripa LW. A critique of topical fluoride methods (dentifrices, mouthrinses, operator- and self-applied gels) in area of decreased caries and increased fluorosis prevalence. J Pub Health Dent 1991; 51: 23^11.
31. Gao W, Smales RJ, Gale MS. Fluoride release/uptake from newer glass ionomer cements used with ART approach. Am J Dent 2000; 13: 201^ 1.
32. Yiu CKY, Wei SHY. Clinical efficacy of dentifrices in the control of calculus, plaque and gingivitis. Quintessence Int 1993; 24: 181-8.
33. Ogaard B, Seppa L, Rolla G. Professional topical fluoride applications - Clinical efficacy and mechanism of action. Adv Dent Res 1994; 8: 190-201
34.Whitford GM. Acute and chronic fluoride toxicity. J Dent Res 1992; 71: 1249-1254.
35. Mellberg JR, Ripa LW. Fluoride in Preventive Dentistry: Theory and Clinical Applications. Quintessence, Chicago, 1983, 290
36.Wang SX, Wang ZH, Cheng XT et al. Arsenic and fluoride exposure in drinking water: children’s IQ and growth in Shanyin county, Shanxi province, China. Environ Health Perspect 2007; 115: 643-647. 37. Newbrun E. Fluorides and Dental Caries: contemporary concepts for practitioners and students. 3rd Ed., Charles C Thomas, Springfield , 1986, 199-218.
38. Sebastian ST, Sunitha S. A cross-sectional study to assess the intelligence quotient (IQ) of school going children aged 10-12 years in villages of Mysore district, India with different fluoride levels. J Indian Soc Pedod Prev Dent 2015; 33: 307-311.